Diskusijos Grožis ir sveikata

Baltos dėmelės ant dantų

        
Vartotojo avataras

Gidija

Patyręs forumietis
 
Pranešimai: 627
Miami

 1,416.67 Lt

Standartinė » 2011 Bir 25, 23:43

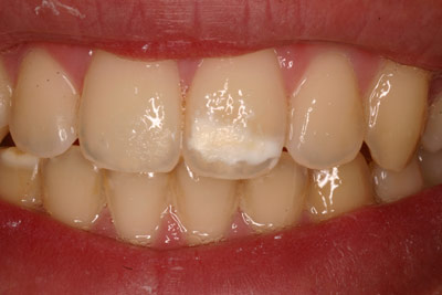
Gal kas esate susidūrę su šia problema? Ant priekinių dviejų dantų turiu tokias baltas dėmeles, mama sakė, kad nuo antibiotikų. Jų labai daug teko gerti būnant mažai. Gal kas žino ar įmanoma jas išsinaikinti ar bent jau šiek tiek paslėpti?


Paveikslėlis

Paveikslėlis

--------------------------------------


Vartotojo avataras

*AgnyČy

®espect
 
Pranešimai: 2404
Kaunas

 44,364.82 Lt

Standartinė » 2011 Bir 26, 22:47

Man buvo seniai kažkada panašiai, bet tokie kaip brūkšniukai.
Man rodos nuo per didelio brūžinimo/valymo, nes emalį pažeidžiau.
Dabar viskas normaliai atsitaisė, gal gerų pastų dėka;) .

Vartotojo avataras

candella.

Forumo gyventojas
 
Pranešimai: 1546
empty streets.

 23,956.77 Lt

Standartinė » 2011 Bir 27, 22:51

Ir aš tokias turiu, man visai netrukdo. Dantistės klausiau dėl jų pašalinimo, sakė, kad sugadinsiu dantis tik. :>

Vartotojo avataras

Irresponsible

Dalyvis
 
Pranešimai: 143
Vilnius

 2,937.00 Lt

Standartinė » 2011 Bir 27, 23:07

Tai bent jau palaikyk dantis baltus - nes antroj nuotraukoj tos dėmės žymiai mažiau matos nei pirmoje, prie geltonesnių dantų :DD

Vartotojo avataras

Gidija

Patyręs forumietis
 
Pranešimai: 627
Miami

 1,416.67 Lt

Standartinė » 2011 Bir 27, 23:21

Irresponsible>> Manau niekas speceliai nepalaiko geltonų dantų, valau kaip išmanau, bet pas mane pats dantis, pats kaulas gelsvas :)

Vartotojo avataras

Irresponsible

Dalyvis
 
Pranešimai: 143
Vilnius

 2,937.00 Lt

Standartinė » 2011 Bir 27, 23:27

Aaa, nu gali ir taip būt. O tai ten ką tavo dantys? :O

Vartotojo avataras

Gidija

Patyręs forumietis
 
Pranešimai: 627
Miami

 1,416.67 Lt

Standartinė » 2011 Bir 27, 23:41

Neee, čia iš interneto kėliau :D

null

Dalyvis
 
Pranešimai: 159

 5,399.00 Lt

Standartinė » 2011 Bir 27, 23:51

dantys neturi būt balti, sveiki dantys yra dramblio kaulo spalvos.

Vartotojo avataras

omggytisauka;*

Lankytojas
 
Pranešimai: 13

 632.00 Lt

Standartinė » 2011 Bir 27, 23:59

nu bet ten virsuj tai truputi ir nepavalyti atrodo :/

Vartotojo avataras

Gidija

Patyręs forumietis
 
Pranešimai: 627
Miami

 1,416.67 Lt

Standartinė » 2011 Bir 28, 00:00

na nežinau kaip ten yra, bet labai nenoriu tų dėmių :(

Vartotojo avataras

meowolf

Patyręs forumietis
 
Pranešimai: 938
Kaunas

 6,503.72 Lt

Standartinė » 2011 Bir 28, 15:00

truputį pagooglinau ir dauguma sako, kad tik dantistas gali jas pašalinti, net ne pašalinti, o kažkuo kažkaip užpildyti. Bet tipo gali būti nuo vaikystėje valgytų pastų ir pan :cha: arba kalcio trūkūmas.Pagooglink pati ir manau tikrai rasi atsakymą ;) Sėkmės

Vartotojo avataras

Deisiukia

Dalyvis
 
Pranešimai: 154
Skuodas

 543.00 Lt

Standartinė » 2011 Bir 28, 20:52

Turiu ant priekinių dantukų, bet mažytės, beveik net nesimato, tai nekompleksuoju. :fish:

Vartotojo avataras

helionaut

Dalyvis
 
Pranešimai: 119
Panėvėž

 1,235.25 Lt

Standartinė » 2011 Bir 28, 21:23

ėmale atsilupinėjo ;ss

dykita*

Apšilinėjantis
 
Pranešimai: 44
Panevezys <3

 1,608.91 Lt

Standartinė » 2011 Rgs 15, 20:07

Man tai yra tos demeles, sake gydytoja, kad nuo pastos su fluoru, ir tipo reikia naudot be fluoro. Bet niekur nerandu. Kazkada esu radus vaikiska tokia pasta, bet dabar jos neberandu. :(

Vartotojo avataras

darkman

Forumo gyventojas
 
Pranešimai: 1368

 39,602.17 Lt

Standartinė » 2011 Rgs 16, 19:34

būna ir man pabaltuoja, bet už kelių dienų dingsta. gal nuo pastos blogos, gal nžn. o gal šiaip. šiaip nekrenta į akį man.



Diskusijos Grožis ir sveikata





 
Linksmas.net on Facebook  Tapk gerbėju

Šiandien:


Imagination.lt





Dabar prisijungę

Šiuo metu prisijungę 0 narių :: 0 registruotų, 0 slaptų ir 0 svečių
Daugiausia vartotojų (555) buvo 2010 Bir 02, 09:13

Vartotojai naršantys šį forumą: Registruotų vartotojų nėra ir 0 svečių